
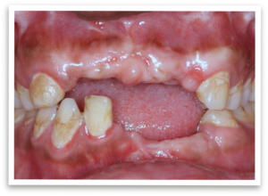
Life can take unexpected turns, and for this patient of ours, a serious accident left him with a fractured upper jaw, leading to missing front teeth. The initial medical treatment focused on mending the broken bone, but the missing teeth remained a constant source of insecurity for him. Unable to smile freely, the patient sought a solution to regain his confidence.
His journey to a new smile wasn’t straightforward. Dental scans (CBCT) revealed a critical challenge: thin teeth bone ridges in both his upper and lower jaw, making implant placement seem impossible. Even the slimmest implants wouldn’t provide a secure foundation for the replacement teeth.
Despite the obstacle, our team at City Dental Clinic didn’t give up. We proposed a specialized procedure – ridge split followed by ridge expansion. This involved carefully splitting the existing bone ridge and gradually widening it. Simultaneously, a bone grafting technique (GBR) was employed to add additional bone volume. This innovative approach allowed for the immediate placement of implants, maximizing efficiency and minimizing treatment time.
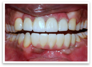
Following the implant placement, a healing period of six months was crucial. Once healed, the prosthetic phase began. Through collaboration with our skilled lab technicians, we created a customized solution. A Paulo Malo bridge was chosen for the upper jaw, offering exceptional strength and aesthetics. The lower jaw received a screw-cement retained prosthesis, ensuring a secure and comfortable fit.
The final outcome was truly remarkable. The patient could now confidently chew, speak, and most importantly, smile broadly! This transformation not only improved his oral health and function, but also brought back the confidence he thought he had lost after the accident. His story is a testament to the power of modern dental techniques and the unwavering spirit of patients seeking a brighter future.
From preventive care to complex treatments, our goal is to help you achieve long-term oral health and a confident smile you’ll love.
Copyright © 2025 All Rights Reserved. Powered by Quantum